도도도도
오징어게임 게임 내역
최씨가문님이
홀짝을
성공 하였습니다.
(02-16 21:30)
최씨가문님이
홀짝을
실패 하였습니다.
(02-16 21:30)
최씨가문님이
홀짝을
실패 하였습니다.
(02-16 21:30)
심청이님이
홀짝을
실패 하였습니다.
(02-14 15:37)
심청이님이
홀짝을
실패 하였습니다.
(02-14 15:37)
심청이님이
가위바위보을
실패 하였습니다.
(02-14 15:37)
아리로라리님이
홀짝을
성공 하였습니다.
(02-05 12:42)
아리로라리님이
홀짝을
실패 하였습니다.
(02-05 12:42)
아리로라리님이
홀짝을
실패 하였습니다.
(02-05 12:42)
안전놀고님이
홀짝을
실패 하였습니다.
(01-30 21:44)
- 03.04 1 2026-03-05 09:00 NBA 뉴욕 닉스 vs 오클라호마시티 썬더
- 03.04 2 2026-03-05 09:30 NBA 보스턴 셀틱스 vs 샬럿 호네츠
- 03.04 3 2026-03-05 09:30 NBA 필라델피아 76ERS vs 유타 재즈
- 03.04 4 2026-03-05 10:00 NBA 멤피스 그리즐리즈 vs 포틀랜드 트레일블레이저
- 03.04 5 2026-03-05 11:30 NBA 밀워키 벅스 vs 애틀랜타 호크스
- 03.04 6 2026-03-05 12:30 NBA LA 클리퍼스 vs 인디애나 페이서스
- 03.04 7 2026-03-05 19:00 KBL 고양 소노 vs 안양 정관장
- 03.04 8 2026-03-05 19:00 V-리그 여자부 현대건설 vs 흥국생명
- 03.04 9 2026-03-05 19:00 V-리그 남자부 KB 손해보험 vs 현대캐피탈
- 03.04 10 2026-03-05 19:00 KBL 원주 DB vs 부산 KCC
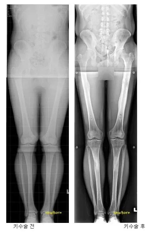
(약혐) 키 13cm 연장한 사람
커뮤관리자
0
95
01.29 09:24







인생걸고 받을 만큼 키 스트레스가 엄청 났을듯
고생한 만큼 좋은 일만 가득하길
(약혐) 키 13cm 연장한 사람